Sekundærartikel:

Diagnostik af parodontale og dentale parametre ved hjælp af horisontale og vertikale bitewingoptagelser

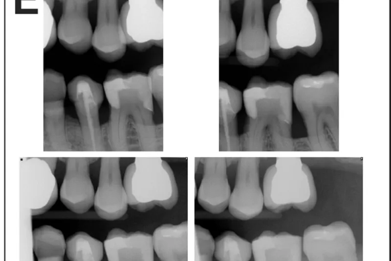
For patienter med marginal knoglesvind er VBW bedre end HBW, når det drejer sig om vurdering af den marginale knogles niveau, densitet og morfologi samt furkaturområder og vurdering af approksimale kontaktområder med henblik på cariesdiagnostik. Vi anbefaler uddannelsessteder for tandlæger, tandplejere og klinikassistenter at undervise i vertikal bitewingteknik som en standardmetode ved røntgenundersøgelse af voksne patienter med tegn på interdentalt knoglesvind i kindtandsområder.

a655 fig.
Sekundær artikel Dato: 22.06.2021

Formål
Formålet med undersøgelsen er at sammenligne den information, man får med to forskellige bitewingoptagelser, horisontale (HBW) og vertikale (VBW).

Materiale og metode
I røntgenjournaler fra Tufts University School of Dental Medicine (TUSDM) blev der søgt efter patienter, som havde knoglesvind omkring kindtænder og havde fået foretaget både HBW og VBW. I alt blev 320 journaler gennemgået efter seks kriterier: synlighed af marginal knogle fra hjørnetandens distalflade til den bageste tands distalflade, synlighed af horisontalt eller vertikalt knoglesvind, densitet af marginal knogle, synlighed af approksimale kontaktområder, synlighed af hele den anatomiske krone samt synlighed af furkaturer.

Resultater
Der var signifikant flere VBW end HBW (P < 0,0001), der viste tab af det marginale knogleniveau (52,81 % vs. 3,75 %), typen af knoglesvind (vertikalt eller horisontalt) (50,94 % vs. 3,75 %), knogledensitet (28,75 % vs. 0,63 %), kontaktområder (20,63 % vs. 14,38 %) og furkaturer (43,44 % vs. 1,25 %). Der var flere HBW end VBW, der viste hele den anatomiske krone. Der var ingen signifikant forskel på antallet af optagelser pr. sæt HBW og VBW.

Konklusion
For patienter med marginal knoglesvind er VBW bedre end HBW, når det drejer sig om vurdering af den marginale knogles niveau, densitet og morfologi samt furkaturområder og vurdering af approksimale kontaktområder med henblik på cariesdiagnostik. Vi anbefaler uddannelsessteder for tandlæger, tandplejere og klinikassistenter at undervise i vertikal bitewingteknik som en standardmetode ved røntgenundersøgelse af voksne patienter med tegn på interdentalt knoglesvind i kindtandsområder.

Klinisk relevans:

Tandlæger bruger rutinemæssigt bitewingoptagelser (BW) for at følge caries, restaureringer og alveolære knogleforandringer. Uheldigvis udviser horisontalt placerede BW-film begrænset gengivelse af tænder og knogle. Vor sammenligning af BW fra de samme patienter undersøgte, om vertikal placering af BW- filmene kunne kompensere for disse diagnostiske begrænsninger. De vertikale BW-optagelser var klart bedre til diagnosticering af den marginale alveolære knogle, furkaturer og parodontale knogledefekter samt visualisering af de interdentale kontakter. Derfor kan det anbefales at anvende vertikale BW i stedet for horisontale BW-optagelser til alle patienter med parodontale forandringer og til mange patienter i øvrigt.