Kirurgisk fjernelse af softgun-plastikkugle i underlæben
Softgun plastic bullets embedded in the facial skin or oral mucosa must be removed. The location of the bullet in the soft tissue can be challenging why the use of radiographic reference points as guidance can be useful for visualization of the location of the bullets during the surgical removal.

Baggrund – Softgun-skudlæsioner kategoriseres som lavhastighedslæsioner og forekommer sjældent. Imidlertid kan forkert håndtering, manglende brug af beskyttelsesudstyr og beskydning på nært hold medføre voldsomme skader på øjne, tænder og ansigt.
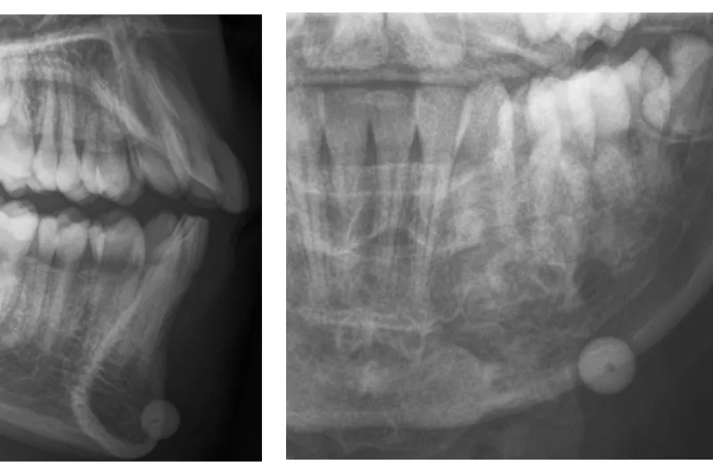
Patienttilfælde – En 12-årig dreng blev henvist til Kæbekirurgisk Afdeling, Aalborg Universitetshospital, for fjernelse af en softgun-plastikkugle i underlæben. Skudlæsionen var hændt 10 dage forinden under leg uden brug af sikkerhedsudstyr. Oversigtsrøntgen viste en velafgrænset kuglerund radiopak forandring beliggende i bløddelene nær basis mandibulae regio -3,4. Plastikkuglen blev fjernet gennem mundslimhinden i et fredeligt postoperativt forløb.
Konklusion – Softgun-plastikkugler indlejret i ansigtshuden eller mundslimhinden bør som udgangspunkt fjernes. Kuglens placering i bløddelene kan være vanskelig at lokalisere, hvorfor brug af radiologiske referencepunkter som vejledning kan være en hjælp til visualisering af kuglens placering i vævet under kirurgisk fjernelse.
Surgical removal of a softgun plastic bullet from the lower lip
Background – A softgun lesion is categorized as a low velocity lesion and is rarely seen. Improper handling, lack of protective equipment and fire at close range can result in injuries including damage to the eyes, teeth, and face.
Case study – A 12-year-old boy was admitted to the Department of Oral and Maxillofacial Surgery, Aalborg University Hospital, for removal of a softgun plastic bullet in the lower lip. The injury had happened 10 days prior during play without use of safety equipment. An x-ray showed a well-defined round radiopaque foreign body located in the soft tissue near the mandibular base in region 33, 34. The bullet was removed through an intraoral approach with an non-complicated healing.
Conclusion – Softgun plastic bullets embedded in the facial skin or oral mucosa must be removed. The location of the bullet in the soft tissue can be challenging why the use of radiographic reference points as guidance can be useful for visualization of the location of the bullets during the surgical removal.