Det skal du vide om: Gingival retraktion

Denne udgave af Tandlægebladets guide sætter fokus på gingival retraktion: Årsag, diagnostik og behandling.

TB2025 11 Guide
Tekst: METTE RYLEV, TANDLÆGE, DR.MED.DENT., PH.D., EFP-CERT. SPEC. I PARODONTOLOGI PRIVAT PRAKSIS, AARHUS, OG KIM ANDREASEN

1. Baggrund og prævalens

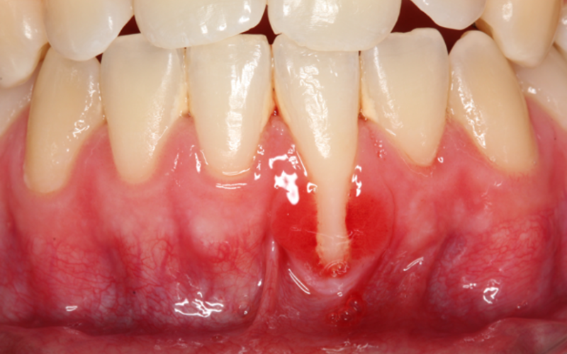
Gingival retraktion defineres som en apikal forskydning af den gingivale margin i forhold til emaljecementgrænsen (ECG), hvilket resulterer i fæstetab og eksponering af rodoverfladen til det orale miljø.

Gingivale retraktioner er meget almindelige i populationer med høj standard af mundhygiejne, hvor de ofte er relateret til traumatisk tandbørstning – særligt på de bukkale flader, hvor der også hyppigt ses usurdannelse cervikalt. Forekomsten blandt personer over 64 år er 88 %, og 50 % af de 18-63-årige rammes af gingival retraktion på minimum ét sted. Langt de fleste tilfælde kræver ikke behandling.

Symptomer

Gingivale retraktioner er ofte asymptomatiske, men kan i svære tilfælde resultere i kombinerede endodontisk parodontale læsioner. Det kan i sidste ende føre til tandtab. Følgende aspekter/symptomer gør gingivale retraktioner klinisk interessante:

  • Æstetiske aspekter
  • Dentin-hypersensitivitet
  • Eksponerede rodoverflader, da de er mere disponerede for caries og usurdannelse
  • Gingivitis, ømhed eller smerter ved tandbørstning

2. Ætiologi

Der er flere prædisponerende faktorer, som anses for at spille en rolle i udviklingen. En af de hyppigste årsager, der er associeret med gingivale retraktioner, er traumatisk tandbørstning. En anden faktor er manglende knogle omkring tænderne i form af dehisenser og fenestrationer og ydermere tandens position i tandbuen. Ofte er årsagen en kombination af flere faktorer.

Retraktioner, der er associeret med generaliserede former for destruktiv parodontal sygdom, findes ikke kun facialt, men også approximalt. Den apikale displacering af den marginale gingiva er en uundgåelig konsekvens af tabt støttevæv omkring tænderne og et resultat af parodontalbehandlingen. Denne form for retraktion er blivende.

Anatomiske faktorer:

En tynd parodontal fænotype (se Tabel 1) har en tendens til at udvikle flere gingivale retraktioner end en tyk fænotype – det er fastslået i litteraturen.

  • En bukkalt placeret eller roteret tandposition
  • Ektopisk eruption
  • Knoglefenestrationer og dehisenser
  • Læbebåndstilhæftning tæt ved margo gingiva og andre vævsdeformationer, som kompromitterer optimal mundhygiejnekontrol.
Fysiologiske faktorer:

Ortodontisk tandflytning uden for alveolens grænser, særligt ved patienter med tynd fænotype, er en væsentlig årsag til gingival retraktion hos unge. Mellem 5 og 12 % udviser tilstanden under og efter behandlingen.

En aktiv ortodontisk retainer kan medføre ugunstig rodtorque eller displacering af tænderne efter endt behandling. Langsigtede observationer angiver en forekomst af gingivale retraktioner på op til 47 %, hovedsageligt af underkæbeincisiver.

Andre risikofaktorer:
  • Tandbørsteteknik: hyppighed, varighed, børstekraft, børstehårenes hårdhed
  • Læbe-/tungepiercing
  • Iatrogene faktorer, fx uhensigtsmæssige cervikale restaureringer (fyldningsoverskud, manglende respekt for biologisk bredde)
  • Brug af snus
  • Andre gingivale læsioner, fx plakinduceret gingival inflammation, gingival påbidning ved avancerede klasse II- eller III-malokklusioner, virusinfektioner m.fl.
Diagnostiske overvejelser og klassificering:

Følgende diagnostiske elementer tages i betragtning ved behandling af gingivale retraktioner:

  • Retraktionens dybde i forhold til ECG
  • Retraktionens bredde
  • Gingival tykkelse (GT)
  • Keratiniseret vævsbredde (KTW)
  • Approximal klinisk fæsteniveau (CAL)
  • Tilstedeværelsen af usur samt ECG-synlighed
  • Vurdering af tandens position i tandbuen — da tanden evt. inden behandling skal undergå ortodontisk korrektion ved indføring af tanden i tandbuen
  • Enoral røntgen for vurdering af apikale forhold.

Til at forudsige potentialet for fuldt roddække benyttes en behandlingsorienteret klassifikation præsenteret af Cairo et al. (2011):

  • Retraktionstype 1 (RT1) (tidl. Miller I/II)
  • Ingen approximal fæstetab; ECG er klinisk ikke synlig mesialt og distalt for tanden
  • Retraktionstype 2 (RT2) (tidl. Miller III)
  • Approximal fæstetab ≤ det bukkale fæstetab (målt fra ECG til den apikale del af sulcus)
  • Retraktionstype 3 (RT3) (tidl. Miller IV)
  • Approximal fæstetab > det bukkale fæstetab (målt fra ECG til den apikale del af sulcus)

100 % roddække kan opnås ved behandling af Retraktionstype 1. Ved retraktionstype 2 kan delvist roddække forventes, mens roddække ikke kan opnås ved Retraktionstype

3. Parodontal plastikkirurgi

Formålet med kirurgisk behandling af en gingival retraktion er at genskabe eller forbedre det tabte blødtvæv. Før kirurgiske roddækkeprocedurer udføres, skal de hyppigste årsager til den gingivale retraktion være under kontrol.

Dette indebærer instruktion i korrekt og skånsom tandbørsteteknik samt fjernelse af evt. traumatiserende faktorer, herunder cervikale restaureringer og piercinger. Ydermere, hvis tanden er placeret uden for tandbuen, som fx ved en aktiv retainer, bør der udføres ortodontisk korrektion af tanden inden yderligere behandling.

Parodontale plastikkirurgiske procedurer ved behandling af gingivale retraktioner klassificeres som 1) stilket blødtvævstransplantat og 2) frit blødtvævstransplantater i kombination med enten forskudt lap- eller tunnelprocedurer.

Stilket blødtvævstransplantater grupperes som 1) forskudte lapprocedurer, fx laterale/oblique eller 2) avancerede lapprocedurer, fx koronal eller semilunar koronalforskudt lap.

Frie blødtvævstransplantater kan udføres som 1) et epitelialiseret transplantat eller 2) et subepitelialiseret transplantat, begge som regel udtaget fra den hårde gane. Ofte anvendes en kombination af begge teknikker.

Valget af kirurgisk roddækketeknik afhænger af flere faktorer, som kan kategoriseres i tre grupper: de lokale anatomiske karakteristika af det sted, der skal behandles, patientens ønsker og kirurgens præferencer.

Kilder:

1. Pini Prato GP. Mucogingival deformities. 
Ann Periodontol 1999;4:1-6.

2. Kassab MM, Cohen RE. The etiology and 
prevalence of gingival recession. J Am Dent 
Assoc 2003;134:220-5.

3. Cairo F, Nieri M, Cincinelli S et al. Interproximal clinical attachment level to classify gingival recessions and perdict root coverage 
outcoms. J Clin Periodontol 2011;38:661-6.

4. Cortellini P, Bissada NF: Mucogingival conditions in the natural dentition: Narrative 
review, case definitions, and diagnostic considerations. J Periodontol 2018;89:204-13.