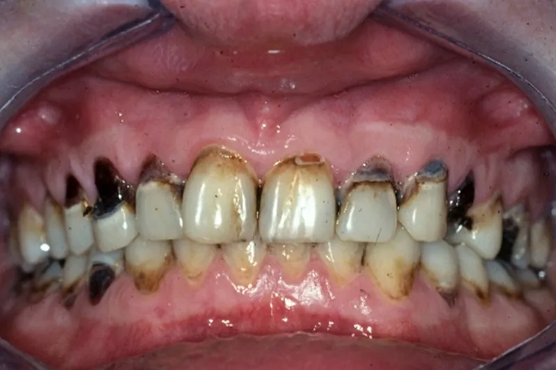
Oral sundhed hos marginaliserede borgere
Ud fra såvel et epidemiologisk som et individuelt perspektiv er der tale om de borgere i vores samfund, som er mest afficeret af orale lidelser, og hvis liv er mest påvirket af det.

Grupper af socialt marginaliserede borgere, fx kronisk psykisk syge, hjemløse, indsatte i fængsler og misbrugere, kan være svære at komme i kontakt med, vanskelige at afgrænse, og ofte ses flere samtidige sociale problemer.
Samfundsodontologiske undersøgelser af disse befolkningsgrupper byder derfor på betydelige metodiske problemer og indbyder til anvendelse af alternative tilgange med henblik på kortlægning og evaluering af interventioner.
Imidlertid peger eksisterende undersøgelser fra de nordiske lande på flere forskellige årsager til både den ringe orale sundhed og forhindringer for disse gruppers brug af tandpleje på såvel det organisatoriske som politiske niveau.
Den ringe orale sundhed og mangel på ”skræddersyede” tandplejeprogrammer til disse borgere understreger det ansvar, de tandlægefaglige professioner i almindelighed og de odontologiske læreanstalter i særdeleshed har med hensyn til at prioritere dette forskningsfelt.
Ud fra såvel et epidemiologisk som et individuelt perspektiv er der tale om de borgere i vores samfund, som er mest afficeret af orale lidelser, og hvis liv er mest påvirket af det.
Klinisk relevans:
Det er vigtigt, at klinikere har indsigt i og forståelse for, at det påvirker den orale sundhed og sundhedsadfærden, når man lever på kanten af samfundet. Det er også vigtigt at anerkende, at sådanne patientgrupper kan have behov for andre tandplejeydelser og behandlingsplaner end “almindelige” patienter, fordi borgere i udkanten af samfundet ofte har en række sociale problemer, som kan påvirke både deres subjektive behandlingsbehov, men også mulighederne for at gennemføre den planlagte behandling.