Tandskader og eksterne rodresorptioner
Ved tandskader er god akutbehandling og diagnostik særdeles vigtigt. Nødvendig tværfaglig kompetence bør stilles til rådighed for traumepatienten og de almenpraktiserende tandlæger, så avanceret diagnostik og behandling kan benyttes for at optimere behandlingen både på kort og langt sigt.

Incidensen af tandskader er størst i den unge befolkning før den pubertale vækstfase, når kæbe- og ansigtsudvikling er på sit mest intense stadie. Da tandskader oftest rammer overkæbens fortænder, må mange unge leve resten af livet med følgetilstande, som kan påvirke tandsættets æstetik, funktion og levetid.
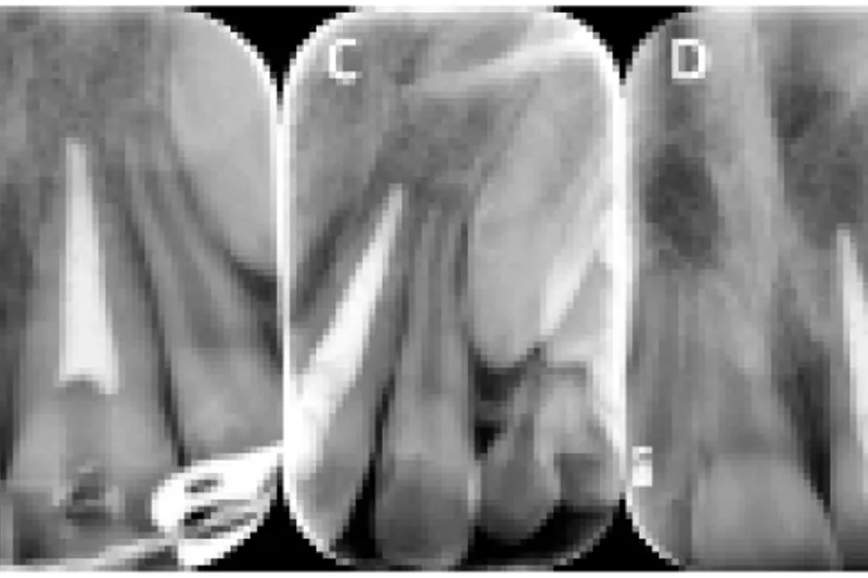
Rodresorptioner er en vigtig og alvorlig senfølge efter tandskader, især alvorlige luksationsskader. I artiklen præsenteres en klassifikation af eksterne rodresorptioner efter tandskader. De vigtigste kendetegn og kliniske manifestationer illustreres med patienteksempler. Det er særlig vigtigt at skelne de forskellige typer af resorptioner fra hinanden, da de skal behandles forskelligt. Infektionsrelaterede resorptioner kræver tidlig diagnostik og intervention, mens reparationsrelaterede resorptioner blot observeres. Erstatningsresorptioner med stigende infraokklusion må ikke observeres så længe, at kæbevæksten og alveolarprocessen påvirkes.
Ved tandskader er god akutbehandling og diagnostik særdeles vigtigt. Opfølgning bør ske efter gældende retningslinjer: www.dentaltraumaguide. org. Nødvendig tværfaglig kompetence bør stilles til rådighed for traumepatienten og de almenpraktiserende tandlæger, så avanceret diagnostik og behandling kan benyttes for at optimere behandlingen både på kort og langt sigt.
Klinisk relevans:
Risikoen for rodresorption efter tandskader er stor. Det er vigtigt at kende de forskellige varianter af rodresorption som følge af tandskader, eftersom de kræver forskellig indsats fra behandleren. Reparationsrelaterede rodresorptioner skal kun observeres, mens det ved infektionsrelaterede rodresorptioner er vigtigt med tidlig diagnostik og intervention for at stoppe infektionen og dens stimuli for videre udvikling af processen. Erstatningsresorption med stigende infraokklusion må ikke observeres for længe hos unge i vækst.
Incidence of traumatic dental injuries is highest in the young population, before the pubertal growth phase when cranio-facial development is most intensive. As traumatic dental injuries frequently affect the maxillary anterior teeth, young people must live their life with sequelae compromising aesthetic, function and life expectancy of the dentition.
Root resorptions is a frequent consequence after traumatic dental injuries, in particular severe luxation injuries. This article presents classification of external root resorptions due to traumatic dental injuries. The main features and clinical picture are illustrated with clinical examples. It is important to distinguish the different types of root resorptions and their stimuli, as they should be treated different. Infection related resorptions demand early diagnoses and interventions, while repair related resorptions need observation only. Replacement resorptions with increasing infraocclusion should not be observed if maxillo- facial growth and alveolar process is affected.
Proper emergency treatment is crucial for traumatic dental injuries. Follow-up should be according to guidelines such as: www. dentaltraumaguide.org. Inter disciplinary competence should be available for patients with traumatic dental injuries - and their dentist so that advanced diagnostics and treatment can be utilized to optimize the treatment both in the short and long term.