Endodontisk behandling eller implantatindsættelse?
Resultaterne viser, at endodontisk behandlede tænder forsynet med en krone og enkelttandsimplantater havde en sammenlignelig og acceptabel overlevelse.

I denne artikel gennemgås og sammenlignes den nuværende viden om resultaterne efter endodontisk behandling og behandling med enkelttandsimplantat.
Der er kun få publicerede undersøgelser, hvor der er foretaget en direkte sammenligning af behandlingsresultatet af endodontisk behandling og behandling med enkelttandsimplantat.
Desuden er der betydelige forskelle i de parametre, der indgår i vurderingen af de to behandlingsmetoder. Derfor skal fortolkningen af resultaterne fra litteraturen foretages med forsigtighed.
Resultaterne viser dog, at endodontisk behandlede tænder forsynet med en krone og enkelttandsimplantater havde en sammenlignelig og acceptabel overlevelse.
På den anden side observeredes flere komplikationer og et større behov for efterbehandling efter implantatbehandling end efter endodontisk behandling.
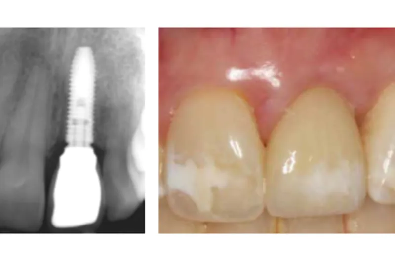
Desuden tyder det også på, at bevarelse af en endodontisk behandlet tand i forhold til ekstraktion og indsættelse af et implantat i det mindste på kort sigt resulterede i den bedste blødtvævsæstetik.
Begge behandlingsformer resulterede dog generelt set i en stor grad af patienttilfredshed.