Hvornår bør man fjerne rodrester og destruerede tænder, som ikke kan restaureres, på skrøbelige ældre patienter?
Beslutninger om eventuel ekstraktion af rodrester bør tages på grundlag af et ønske om at forebygge smerte, ubehag, alvorlig inflammation og yderligere svækkelse af den orale sundhed, konkluderer forskere.

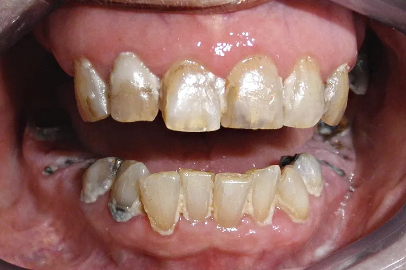
Baggrund – Mange skrøbelige ældre har dårlige tandsæt; stærkt destruerede tænder, som ikke kan restaureres, og rodrester med åbne rodkanaler ses hyppigt i kombination med periapikal og parodontal inflammation. Der ligger en stor udfordring for tandplejen i at forbedre den orale status for den voksende gruppe af skrøbelige ældre med egne tænder. Tandlæger er ofte usikre på, hvordan de skal håndtere rodrester og destruerede tænder uden mulighed for restaurering på skrøbelige ældre patienter.
Formål – Forfatterne har til hensigt at udarbejde anbefalinger, som kan hjælpe tandlæger med at tage kliniske beslutninger om, hvorvidt rodrester og stærkt destruerede tænder skal ekstraheres eller efterlades på skrøbelige ældre patienter.
Konklusioner – Beslutninger om eventuel ekstraktion af rodrester bør tages på grundlag af et ønske om at forebygge smerte, ubehag, alvorlig inflammation og yderligere svækkelse af den orale sundhed. Såvel patientrelaterede faktorer som lokale forhold omkring den aktuelle rod bør indgå i overvejelserne.
Klinisk relevans:
Der bliver til stadighed en øget andel af ældre i befolkningen, og flere og flere beholder deres egne tænder hele livet. For en del borgere præges de sidste leveår af tiltagende fysisk og kognitiv svækkelse, hvilket kan medføre, at tandsættet forringes betydeligt. Tandlæger, der arbejder med ældre patienter, vil derfor ofte skulle tage stilling til, om rodrester og stærkt destruerede tænder skal ekstraheres, eller om patienten er bedre tjent med, at man lader dem sidde. Denne artikel angiver retningslinjer for, hvilke overvejelser man bør gøre sig, inden man beslutter sig for at ekstrahere – eller lade være.When should root remnants and unrestorable broken teeth be extracted in frail older adults?
Background – Many frail older adults have an unhealthy dentition; unrestorable broken teeth and root remnants with open root canals, commonly accompanied by periapical and periodontal inflammation, are often seen. Improving oral health in the growing group of frail older adults with remaining teeth is a considerable challenge for dental care professionals. Dentists are often un- certain how to deal with root remnants and unrestorable broken teeth in frail older adults.
Methods – The authors aim was to provide recommendations to dentists to help in their clinical decision making about the extraction or retention of roots remnants and broken teeth in frail older adults.
Conclusions – Decisions about the extraction or retention of root remnants should made on the basis of preventing pain and oral discomfort, preventing severe inflammation, and preventing additional decline in oral health. Both root-related and patient-related factors are considered.