Ætiologi, diagnostik og behandlingsovervejelser ved medfødte, isolerede tanddannelsesforstyrrelser i emalje og dentin
Denne artikel omhandler genetisk betingede misdannelser af emalje eller dentin, hhv. amelogenesis imperfecta og dentinogenesis imperfecta.

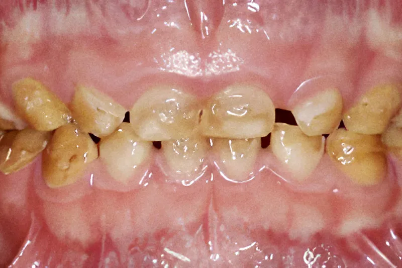
Denne artikel omhandler genetisk betingede misdannelser af emalje eller dentin, hhv. amelogenesis imperfecta og dentinogenesis imperfecta. Ætiologi og diagnose af typiske tandforandringer, som ses ved sygdommene, gennemgås. Artiklen omhandler desuden beskrivelse af relevante dele af sundhedsloven, henvisningspraksis med relevans for området samt aktuelle anbefalinger for så vidt angår den forebyggende og rekonstruktive tandbehandling hos børn og unge med disse tilstande.
Klinisk relevans:
De hyppigst forekommende genetisk betingede afvigelser i tanddannelsen er amelogenesis imperfecta og dentinogenesis imperfecta, hvor dannelsen af henholdsvis emalje og dentin er blevet forstyrret. For afvigelser gælder, at både den primære og permanente dentition er afficeret, men med stor variation i fænotyper og behandlingsbehov. Det er bl.a. klinisk udfordrende, at kvaliteten af vævene kan være forringet, hvorved en basal egenskab som fx bindingsstyrken mellem tand og en restaurering også er nedsat. Dette betyder nedsat holdbarhed og højere omlavningsrate hos disse patienter og risiko for højere cariesprævalens. Det er derfor nødvendigt med særlig profylaktisk opmærksomhed. Det er vigtigt at kende til de forskellige typer af afvigelser for at kunne iværksætte optimal forebyggelse og relevant tandbehandling og vurdere, om henvisning til specialiseret oral rehabiliterende behandling er nødvendig.
Enamel dysplasia or dentine anomaly? Aetiology, diagniostics, and treatment considerations of congenital, isolated tooth formation disturbancies in enamel and dentin
This paper reviews the two most frequent genetic dental anomalies, amelogenesis imperfecta (AI) and dentinogenesis imperfecta (DI). Aetiology and diagnosis of typical dental changes seen in the diseases are reviewed. The article also reviews the Health Act, referral practice with relevance to the subject, as well as current recommendations regarding preventive and reconstructive dental treatment in children and young people with these conditions.