Adhæsiv behandling af ung patient med amelogenesis imperfecta
Noninvasiv adhæsiv teknik kunne løse patientens æstetiske behov, og efter 10 år var der fortsat god holdbarhed af plasten. Til sidst diskuteres behandling af forskellige aldersgrupper kort, herunder valg af forskellige materialer samt holdbarhed.

Baggrund
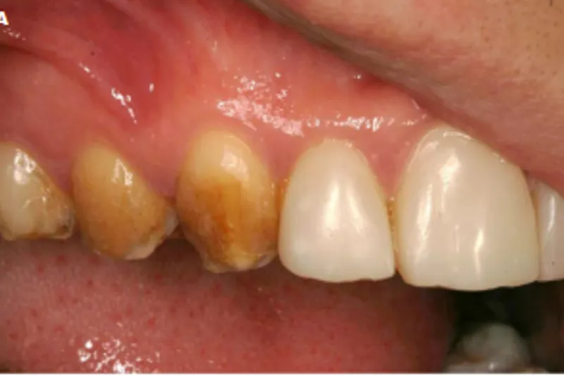
– Patienter med amelogenesis imperfecta har oftest et livslangt behandlingsbehov, fordi insufficient mineraliseret emalje fører til fraktur, slid, symptomer, caries, begrænset holdbarhed af restaureringer og insufficient æstetik. Det er derfor vigtigt, at behandlingsvalg relateres til patientens alder og behov, samt at en noninvasiv tilgang tilstræbes.
Patienttilfælde
– I denne artikel gennemgås behandlingen af en 16-årig dreng med æstetiske problemer i fronten, hvor okklusalt slid endnu ikke er behandlingskrævende. Behandlingsprincippet tager udgangspunkt i patientens unge alder og udføres derfor med direkte plast. De kliniske procedurer bliver udførligt beskrevet undervejs.
Konklusion
– Noninvasiv adhæsiv teknik kunne løse patientens æstetiske behov, og efter 10 år var der fortsat god holdbarhed af plasten. Til sidst diskuteres behandling af forskellige aldersgrupper kort, herunder valg af forskellige materialer samt holdbarhed.
Klinisk relevans:
Patienter med amelogenesis imperfecta (AI) har meget forskellige behandlingsbehov, og emaljens ufuldstændige mineralisering giver ofte udfordringer mht. holdbarhed af restaureringer. Det betyder, at behandlingsvalg må tages på et biologisk grundlag med skyldigt hensyn til patientens alder og behov. På børn og unge vil adhæsiv behandling med direkte plast/glasionomercement og evt. stålkroner oftest være den bedste løsning, mens skal-/fuldkroner eller en kombination af plast og keramik hyppigst vil være at foretrække på voksne, når høj æstetik og længere holdbarhed er ønsket. I de fleste tilfælde vil behandling kunne udføres med en noninvasiv tilgang, hvilket altid må tilstræbes.
Adhesive therapy of a young patient with amelogenesis imperfecta.
Background
– Patients with amelogenesis imperfecta usually have a lifelong need for treatment because insufficient mineralized enamel leads to fractures, wear, symptoms, caries, limited longevity of restorations, and insufficient aesthetics. It is therefore important that choice of treatment is related to the patient's age and needs, and that a non-invasive approach is sought.
Case study
– This article reviews the treatment of a 16-year-old boy with anterior aesthetic problems, but where occlusal wear does not yet require treatment. The choice of treatment is based on the young patient’s age. He therefore receives aesthetic treatment with direct composite resin material. The clinical procedures are described in detail.
Conclusion
– A non-invasive technique proved to be able to meet the patient's needs and after 10 years there was still good durability of the composite resin restorations. Finally, treatments for different age groups are briefly discussed, including choice of materials and durability.