Forbedret samarbejde gennem nye digitale teknikker: Et patienttilfælde med alvorlig dental erosion
Digitale hjælpemidler kan øge forudsigeligheden og fremme patientens aktive medvirken i en omfattende rehabilitering. Patienttilfældet viser, at man ved digitale procedurer også kan inddrage tandteknikeren i behandlingsplanlægningen og rationalisere den tandtekniske produktion.

Baggrund
Digitale hjælpemidler bliver i stigende grad anvendt i odontologisk praksis. Nye digitale arbejdsmetodikker udvikles stadig for at optimere kliniske og tandtekniske procedurer samt opnå tillægsgevinster som sammenhængende behandlingsforløb og mere samarbejde med patienterne.
Patienttilfældet
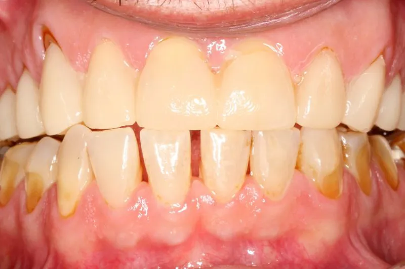
Det aktuelle patienttilfælde beskriver rehabiliteringen af en 45-årig mand med et erosionsskadet tandsæt. Patienten ønskede æstetisk forbedring samt en forudsigelig rehabilitering. Der blev benyttet en digital arbejdsgang for at sikre det æstetiske resultat samt bistå tandlægen i de kliniske procedurer. Den initiale digitale planlægning (mockup) blev præsenteret for patienten intraoralt. Efter at patienten havde godkendt planen, blev der foretaget en ortodontisk behandling med ”clear alignere”. Der blev udført kvantificerede præparationer gennem den intraorale mockup. Mockup og præparationer blev overført til tandteknikeren ved hjælp af intraoral scanner. Der blev efter den oprindelige plan fremstillet fuldkonturerede keramiske erstatninger – som derefter blev cementeret med en adhæsiv protokol.
Konklusion
Digitale hjælpemidler kan øge forudsigeligheden og fremme patientens aktive medvirken i en omfattende rehabilitering. Patienttilfældet viser, at man ved digitale procedurer også kan inddrage tandteknikeren i behandlingsplanlægningen og rationalisere den tandtekniske produktion.
Klinisk relevans:
Digitale teknikker kan bidrage til en bedre patientinddragelse og assistere tandlægen ved komplicerede rehabiliteringer. De digitale teknikker kan også inddrage tandteknikerne på et tidligt stadium i planlægningen og rationalisere den tandtekniske produktion.
Enhancing dental collaboration with novel digital techniques. A case study on severe dental erosion treatment
Background
Digital tools are increasingly being used in dental practice. New digital methodologies are continually developed to optimize clinical and technical procedures, as well as to achieve additional goals such as comprehensive treatment courses and more direct interaction with patients.
Case study
The current patient case describes the rehabilitation of a 45-year-old man with a severe dental erosion. The patient desired aesthetic improvement as well as predictable dental rehabilitation. A digital workflow was used to ensure the aesthetic result and assist the dentist in the clinical protocols. The initial digital planning (mock-up) was presented to the patient intraorally. After the patient approved the plan, orthodontic treatment based on “clear aligners” was carried out. Quantified preparations were performed through the intraoral mockup according to the requirements of the ceramic material. An intraoral scanner was used to transfer the mockup and preparations to the dental technician in one digital file. Full-contour ceramic replacements were manufactured according to the original plan – which were later luted using an adhesive protocol.
Conclusion
Digital tools can increase predictability and improve patient participation in comprehensive rehabilitations. This case demonstrates that digital procedures can include the dental technician in the treatment planning and rationalize the dental technician’s production procedures.