Mandibulær midtlinjedistraktionsosteogenese til korrektion af transversel okklusionsafvigelse
Transverselle okklusionsafvigelser kombineret med en vækstbetinget kæbedeformitet korrigeres sædvanligvis ved en sektioneret Le Fort 1-osteotomi eller kirurgisk assisteret ganeekspansion. Imidlertid er behandlingen forbundet med en betydelig risiko for recidiv samt biologiske og tekniske komplikationer, hvorfor mandibulær midtlinjedistraktionsosteogenese udelukkende anbefales til korrektion af ekstreme vækstbetingede transverselle okklusionsafvigelser.

Baggrund
Transverselle okklusionsafvigelser kombineret med en vækstbetinget kæbedeformitet korrigeres sædvanligvis ved en sektioneret Le Fort 1-osteotomi eller kirurgisk assisteret ganeekspansion. Ved ekstreme transverselle skeletale diskrepanser mellem maksillen og mandiblen kan der være indikation for transversel udvidelse af mandiblen ved hjælp af mandibulær midtlinjeosteotomi eller mandibulær midtlinjedistraktionsosteogenese.
Patienttilfælde
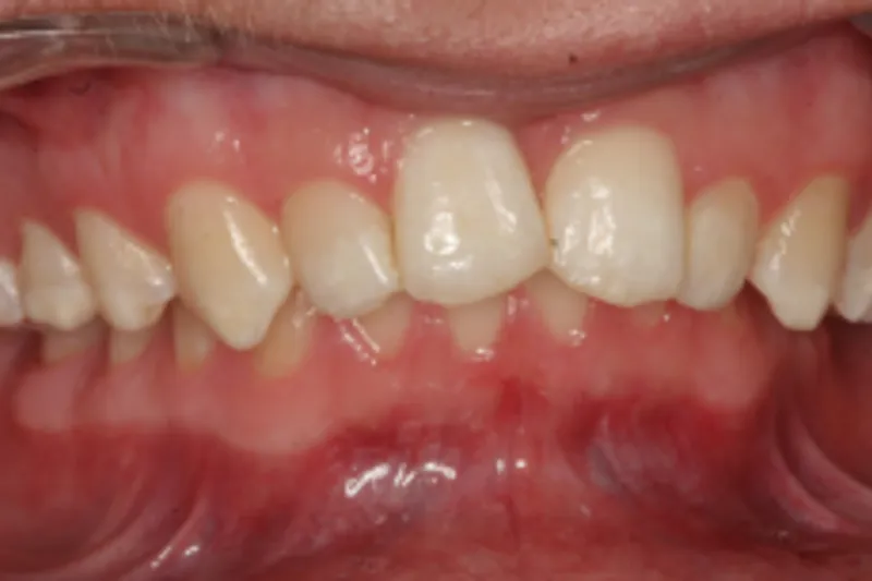
En 15-årig dreng med infantil autisme blev henvist fra Hjørring Kommunes Tandpleje til Kæbekirurgisk Afdeling, Aalborg Universitetshospital, for ortodontisk-kirurgisk behandling af et stort horisontalt maksillært overbid uden kontakt på nogen af tænderne. Den vækstbetingede kæbedeformitet blev korrigeret ved hjælp af ortodonti og mandibulær midtlinjedistraktionsosteogenese efterfulgt af en sektioneret Le Fort I-osteotomi og bilateral sagittal splitosteotomi.
Konklusion
Mandibulær midtlinjedistraktionsosteogenese er en forudsigelig behandlingsmodalitet til transversel udvidelse af mandiblen. Imidlertid er behandlingen forbundet med en betydelig risiko for recidiv samt biologiske og tekniske komplikationer, hvorfor mandibulær midtlinjedistraktionsosteogenese udelukkende anbefales til korrektion af ekstreme vækstbetingede transverselle okklusionsafvigelser.
Klinisk relevans:
Transverselle okklusionsafvigelser i mandiblen ved en underudviklet underkæbe kendetegnes ved en V-formet tandbue, uni- eller bilateralt saksbid, oral inklinering af molarerne/præmolarerne samt trangstilling i underkæbefronten. Mindre transverselle okklusionsafvigelser korrigeres oftest med ortodontisk nivellering af tandbuerne. Betragtelige transverselle okklusionsafvigelser kombineret med en vækstbetinget kæbedeformitet nødvendiggør ofte kirurgisk intervention, hvor mandibulær midtlinjeosteotomi eller mandibulær midtlinjedistraktionsosteogenese kan være nødvendig til korrektion af en udtalt skeletal diskrepans mellem maksillen og mandiblen.
Andibular midline distraction osteogenesis for correction of a dentofacial deformity with an extreme transverse occlusal deficiency using
Background
Transverse occlusal deficiency combined with a dentofacial deformity is usually corrected by a segmented Le Fort I osteotomy or surgically assisted rapid maxillary expansion. In extreme transverse skeletal discrepancies between the maxilla and the mandible, there may be an indication for transverse expansion of the mandible using mandibular midline osteotomy or mandibular midline distraction osteogenesis.
Case study
A 15-year-old boy with infantile autism was admitted from Hjørring municipal dental care to the Department of Oral and Maxillofacial Surgery, Aalborg University Hospital for orthognathic surgery of a large horizontal maxillary overjet without occlusal contact between the teeth. The dentofacial deformity was corrected using orthodontics and mandibular midline distraction osteogenesis followed by a segmented Le Fort I osteotomy and bilateral sagittal split osteotomy.
Conclusion
Mandibular midline distraction osteogenesis is a predictable treatment modality for transverse expansion of the mandible. However, the treatment is associated with a significant risk of relapse as well as biological and technical complications. Mandibular midline distraction osteogenesis is therefore primarily recommended for treatment of extreme transverse skeletal and occlusal deficiencies.