Kasuistik:

Familiær adenomatøs polypose med maxillofaciale manifestationer

Familiær adenomatøs polypose er en sjældent forekommende sygdom, hvor osteomer i kæberne og tandanomalier kan have prædiktiv værdi, hvorfor sygdommen har odontologisk interesse.

a659 fig.
Kasuistik Dato: 25.05.2021

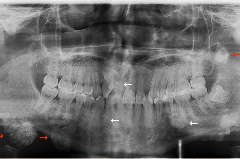
BAGGRUND – Familiær adenomatøs polypose er en sjældent forekommende arvelig tarmsygdom, som er karakteriseret ved udvikling af fra 100 til flere tusinde kolorektale polypper og ekstrakoloniske manifestationer, herunder osteomer i kæberne og tandanomalier.

Sygdommen skyldes en mutation i APC-genet og vil ubehandlet føre til kolorektal cancer hos alle patienter.

Diagnosen stilles ved DNA-analyse eller klinisk ved endoskopi, og behandlingen er kolektomi samt håndtering af ekstrakoloniske manifestationer. 

PATIENTTILFÆLDE – En 29-årig mand blev henvist fra sin privatpraktiserende læge til Kæbekirurgisk Afdeling, Aalborg Universitetshospital, med henblik på diagnostik og behandling af let symptomgivende og kosmetisk skæmmende langsomt voksende hårde hævelser bilateralt langs basis mandibulae. 

Patienten var kendt med familiær adenomatøs polypose.

Histologisk undersøgelse af excisionsbiopsier viste forandringer forenelige med osteomer som led i familiær adenomatøs polypose.

KONKLUSION – Familiær adenomatøs polypose er en sjældent forekommende sygdom, hvor osteomer i kæberne og tandanomalier kan have prædiktiv værdi, hvorfor sygdommen har odontologisk interesse.

Klinisk relevans:

Familiær adenomatøs polypose er en sjælden arvelig sygdom forårsaget af en gendefekt. Mutationen giver anledning til udvikling af kolorektale adenomer og forekomst af ekstrakoloniske manifestationer, heriblandt osteomer i kæberne og dentoalveolære forandringer. Osteomer i kæberne tillægges en prædiktiv værdi, fordi de ofte kan påvises hos børn og unge inden udviklingen af kolorektale adenomer. Ubehandlet udvikler alle patienter kolorektal cancer; derfor er kendskab til de kliniske og radiologiske afvigelser essentielt for at iværksætte tidlig diagnostik og behandling.