Keramik i udfordrende kliniske situationer
Hvor langt kan vi gå med anvendelse af nye keramiske materialer, og hvor meget dokumentation skal kræves, førend de kan anvendes på unge patienter, hvor æstetikken og de psykologiske aspekter af tandbehandlingen fylder meget for de fleste af patienterne?

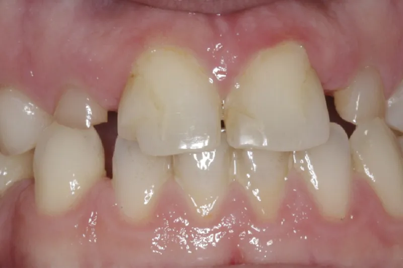
På Specialklinikken i Oral Rehabilitering på Tandlægeskolen i København foretages tandrehabilitering af patienter med forskellige udviklings- og mineraliseringsforstyrrelser. Inden patienterne kommer på vores afdeling, har de typisk gennemgået ganske meget tandbehandling i børnetandplejen, og der er blevet udarbejdet langsigtede behandlingsplaner for de unge patienter. Kravene til de restorative behandlinger er, at de er langtidsholdbare og æstetisk tilfredsstillende for patienterne. Hvor langt kan vi gå med anvendelse af nye keramiske materialer, og hvor meget dokumentation skal kræves, førend de kan anvendes på unge patienter, hvor æstetikken og de psykologiske aspekter af tandbehandlingen fylder meget for de fleste af patienterne? Dette gennemgås ved anvendelse af tre kasus med forskellige kliniske udfordringer.