Kliniske resultater med nye cariesdiagnostiske metoder
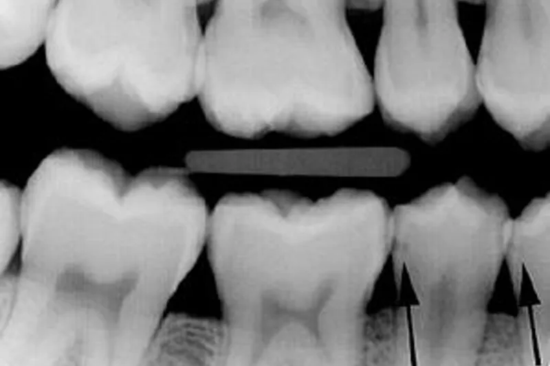
Bite-wings er stadigvæk den bedste metode til at diagnosticere okklusal caries, mens de nyere metoder impedansspektroskopi og laserfluorescens kan anvendes som supplementer. Det konkluderer forskere fra Københavns Universitet, efter de har undersøgt anvendeligheden af de tre metoder.

Forskere fra Odontologisk Institut, Københavns Universitet, har undersøgt anvendeligheden af to nyere metoder, impedansspektroskopi (IS) og laserfluorescens (LF), i diagnostik af okklusal caries. IS (CarieScan PRO) og LF (DIAGNOdent pen) blev sammenlignet med bite-wings og visuel registrering efter ICDAS-kriterierne.
I undersøgelsen indgik 57 frivillige, raske forsøgspersoner over syv år, som havde fået taget bite-wings inden for de seneste tre måneder og desuden havde mindst én præmolar eller molar uden fyldning. Én tand pr. person blev undersøgt med alle fire metoder af to uafhængige undersøgere, og en til fire uger senere blev registreringerne foretaget på ny af begge undersøgere.
Bite-wings kom samlet set ud som den bedste metode
54 % af tænderne var helt sunde eller havde lette forandringer (ICDAS-score 0-2), mens 46 % havde moderate eller omfattende læsioner (ICDAS-score 3-5). Med den visuelle registrering som reference viste de tre øvrige metoder varierende resultater. IS havde høj specificitet, men desværre en meget lav sensitivitet, mens LF havde moderat høj specificitet og sensitivitet. Bite-wings havde moderat specificitet og høj sensitivitet og kom samlet set ud som den bedste metode med en diagnostisk odds ratio på 25,0 mod 13,5 for IS og 5,4 for LF.
Forfatterne konkluderer, at IS og LF kan anvendes som supplement til visuel cariesregistrering, især i tilfælde, hvor røntgenundersøgelse bør undgås.
Mortensen D, Hessing-Olsen I, Ekstrand KR, Twetman S. In-vivo performance of impedance spectroscopy, laser fluorescence, and bitewing radiographs for occlusal caries detection. Quintessence Int 2018;49:293-9.