Hvorfor har vi ikke taget konsekvensen af, at parodontitis er en multikausal sygdom?
En international forskergruppe slår på lederplads i et estimeret videnskabeligt tidsskrift til lyd for, at tiden er inde til endeligt at acceptere konsekvensen af den multikausale baggrund for parodontitis.

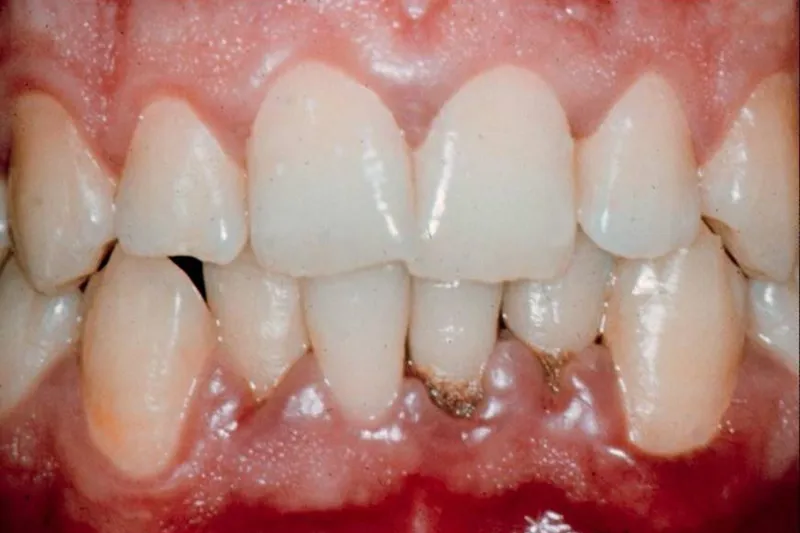
Årsagen til parodontitis skal findes i en kombination af mikrobiota, vært og miljø. Denne opfattelse er i dag generelt accepteret. Alligevel foregår størstedelen af al parodontalbehandling ud fra en monokausal sygdomsopfattelse. Som tandlæger er vi vant til at betragte parodontitis som en plakinduceret sygdom, og vores behandling er næsten udelukkende koncentreret om at bekæmpe plakken ved hjælp af professionelle tandrensninger og forbedring af patienternes mundhygiejne. En international forskergruppe slår imidlertid på lederplads i et estimeret videnskabeligt tidsskrift til lyd for, at tiden er inde til endeligt at acceptere konsekvensen af den multikausale baggrund for parodontitis.
En del patienter udvikler ikke sygdommen, selvom de har belægninger på tænderne. Parodontitis opstår først, når plakken kombineres med andre årsagsfaktorer som fx rygning, diabetes eller genetiske forhold.
Denne multikausale tilgang til parodontitis har også konsekvenser for behandlingen af den enkelte patient, idet det er muligt at forebygge parodontitis og stoppe parodontitis’ progression ved at fokusere på andre årsagsfaktorer end plakken. I nogle tilfælde kan det være mere relevant at fokusere på patientens ukontrollerede diabetes eller rygevaner. Der er eksempler på, at rygestop kan forhindre parodontitis og stoppe sygdomsprogressionen ved eksisterende parodontitis.
Indbygget i den multikausale sygdomsmodel ligger også en erkendelse af, at en del patienter med parodontitis ikke kan behandles sufficient i tandlægeregi, og at vi derfor må indgå i et multidisciplinært samarbejde.
Frandsen Lau E, Peterson DE, Leite FRM, Nascimento GG, Robledo-Sierra J, Porat Ben Amy D, Kerr R, Lopez R, Baelum V, Lodi G, Varoni EM. Embracing multi-causation of periodontitis: Why aren’t we there yet? Oral Dis 2022;28:1015-21.