CBCT med stort billedfelt: upræcis information om canalis mandibulae
CBCT-fund, der har relation til canalis mandibulae, bør ikke indgå i den information, man giver til patienterne inden operationen, konkluderer danske forskere.

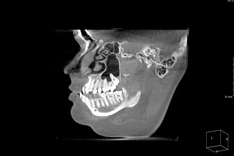
De fleste patienter, der får udført ortodontisk kirurgi, får fjernet deres visdomstænder inden den egentlige behandling. De CBCT-undersøgelser, der optages i forbindelse med ortodontisk kirurgi, har imidlertid et større billedfelt (FOV) og dermed en lavere billedopløsning end de optagelser, der normalt tages før fjernelse af visdomstænder. Forskere fra Aarhus Universitet (Institut for Odontologi og Oral Sundhed) og Sydvestjysk Sygehus, Esbjerg (Kæbekirurgisk Afdeling), har derfor undersøgt, hvor godt forskellige fund på CBCT med stort billedfelt korrelerer med de kliniske fund, der kan registreres i forbindelse med operationen.
209 tredjemolarer fra underkæben blev i perioden 2015- 2017 fjernet på 134 patienter, der var skrevet op til ortodontisk kirurgi. Tre uafhængige eksperter registrerede på CBCT med stort billedfelt tændernes lejring, rodantal og rodmorfologi samt en række parametre, som vedrørte tændernes relation til canalis mandibulae. I forbindelse med operationerne blev de samme tandrelaterede forhold registreret, og i relation til canalis mandibulae blev det registreret, om nerven var synlig efter fjernelse af tanden, om der var furer i roden efter nerven, og/eller om patienten ved suturfjernelsen havde føleforstyrrelser svarende til n. alveolaris inferior.
Generelt var der god korrelation mellem de radiologiske og kliniske fund, når det drejede sig om tændernes lejring, rodantal og -morfologi. Derimod var der meget lave positive prædiktive værdier, når det drejede sig om tændernes relation til canalis mandibulae. Med andre ord kunne man ikke ud fra optagelserne forudsige, om patienterne havde en større risiko for føleforstyrrelser efter behandlingen.
På den baggrund finder forfatterne, at CBCT-fund, der har relation til canalis mandibulae, ikke bør indgå i den information, man giver til patienterne inden operationen.
Matzen LH, Schropp L, Hermann L, Ingerslev J, Wenzel A. Reliability of radiographic findings in large FOV CBCTs of mandibular third molars as basis for pre-operative patient information. Acta Odont Scand 2022;80:210-7.