Rodcaries: god overensstemmelse mellem klinisk og histologisk diagnostik
Ny undersøgelse viser en stærk sammenhæng mellem rodcarieslæsionernes kliniske billede ifølge ICCMS™ og den demineraliseringsdybde, der kunne konstateres ved histologisk undersøgelse.

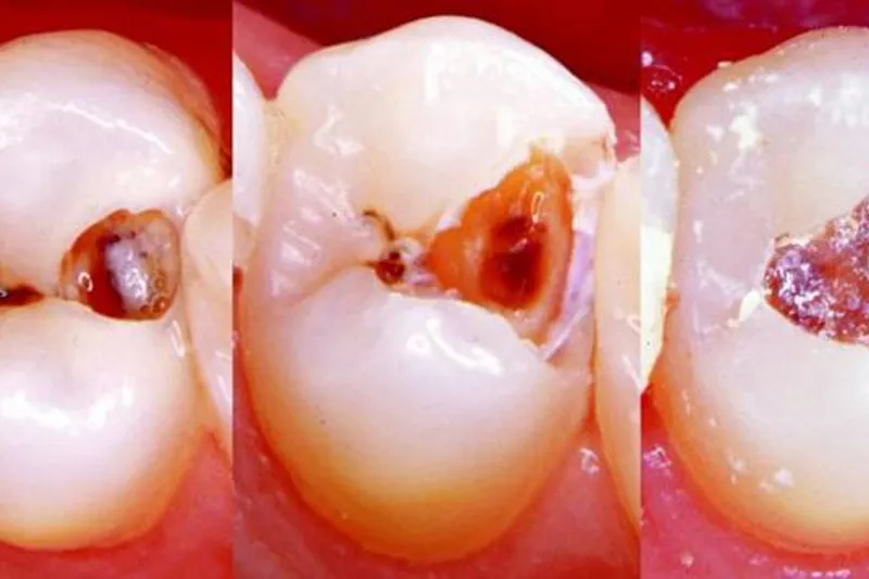
Rodcaries inddeles ifølge det internationale cariesklassifikationssystem ICCMS™ i fire stadier: 0 (sunde forhold), 1 (læsion uden kavitet), 2 (kavitetsdybde ≤ 2 mm) og 3 (kavitetsdybde > 2 mm). Professor Kim Ekstrand (Odontologisk Institut, Københavns Universitet) har sammen med medarbejdere fra Brasilien og Den Dominikanske Republik i et laboratoriestudie undersøgt, om denne kliniske inddeling afspejler det sygdomsbillede, man kan konstatere histologisk.
Resultaterne viste høj korrelation mellem de kliniske og histologiske registreringer
97 ekstraherede permanente molarer blev først vurderet klinisk efter ovenstående kriterier. Derefter blev carieslæsionernes udstrækning bedømt histologisk efter følgende kriterier: 0 = ingen læsion, 1 = læsion i dentinens yderste 1/3, 2 = læsion i midterste 1/3, 3 = læsion i inderste pulpanære 1/3. Alle registreringer blev foretaget af to uafhængige undersøgere.
Resultaterne viste høj korrelation mellem de kliniske og histologiske registreringer, henholdsvis 0,94 og 0,95 for de to undersøgere (P < 0,0001 i begge tilfælde). Specificiteten og sensitiviteten blev beregnet til henholdsvis 0,91 og 0,93 (P < 0,001).
Forfatterne konkluderer, at undersøgelsen viser en stærk sammenhæng mellem rodcarieslæsionernes kliniske billede ifølge ICCMS™ og den demineraliseringsdybde, der kunne konstateres ved histologisk undersøgelse.
Ekstrand KR, Cordeschi T, Abreu Placeres N. ICCMS™ root caries lesions stages and their underlying depth towards the pulp: an in vitro study with histologic evaluation. Clin Oral Investig 2022;26:2597-2605.