5 punkter: Bliv klogere på aktinisk keratose
Denne guide giver dig viden om tilstanden aktinisk keratose på læberne, hvordan den kan opstå, hvordan den diagnosticeres, og hvilke behandlingsmuligheder der er.

1. Baggrund
Aktinisk keratose (også kaldet aktinisk cheilitis) er en potentielt malign tilstand karakteriseret ved udvikling af skorpedannelse (hyperkeratose) på prolabiet/overgangen mellem prolabiet og huden som følge af langvarig eller kraftig eksponering for solens UV-stråler. Tilstanden udvikler sig gradvist og oftest i en eksisterende aktinisk elastose, som er karakteriseret ved grålig/hvidlig/gullig forandring på overgangen mellem prolabiet og huden. Overgangen mellem det læberøde og huden fremstår derved udvisket. Aktinisk elastose øger risikoen for aktinisk keratose, og ved aktinisk keratose er der øget risiko for udvikling af hudcancer, især af typen planocellulære karcinomer. Det er rapporteret, at 10-30 % af de aktiniske keratoser progredierer til planocellulære karcinomer, men også vist, at 95 % af alle planocellulære karcinomer i læben opstår i eksisterende aktinisk cheilitis.
Da langvarig eksponering for solens UV-stråler er den vigtigste risikofaktor, har følgende personer øget risiko for udvikling af aktinisk elastose og keratose:
· Personer, der opholder sig meget udendørs pga. erhverv eller sportsaktiviteter
· Personer over 60 år (pga. den akkumulerede effekt af soleksponering) og især mænd
· Personer med lysfølsom hud (Fitzpatrick hudtype 1 og 2)
Der er ikke påvist årsagssammenhæng mellem tobaksrygning og aktinisk keratose eller planocellulært karcinom i læben. Personer i immunsuppressiv behandling efter organtransplantation har øget risiko for udvikling af karcinomer i huden og læben ved soleksponering.
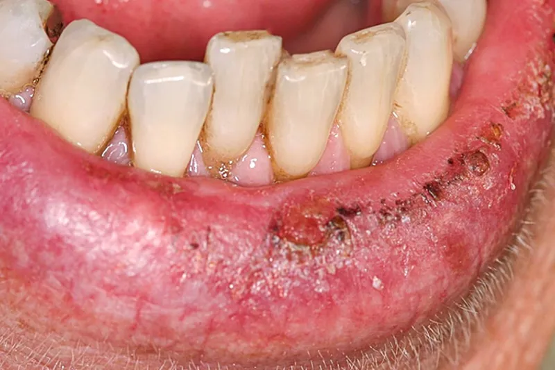
2. Kliniske fund
Aktinisk keratose viser sig som:
· Skorpe- eller skældannelse på prolabiet, ofte samtidig med grålig/hvidlig/gullig forandring og uskarp afgrænsning af prolabiet i forhold til omgivende hud
· Tørre og skællende læber
· Fissurer og erosioner på læberne
· Vedvarende sår på prolabiet
· Hævelser af læberne
Aktinisk keratose ses oftest på underlæben og kan optræde som en lokaliseret forandring, men typisk vil en større del af læben være involveret. Tilstanden kan være asymptomatisk eller forbundet med sviende, brændende fornemmelse i læben.
3. Differentialdiagnoser
· Hudcancer (basocellulært eller planocellulært karcinom)
· Diskoid lupus erythematosus (autoimmun hudsygdom, kan også afficere mundslimhinden)
· Lichen planus (kronisk inflammatorisk hud- og slimhindesygdom)
· Ikke allergisk eller allergisk dermatitis (eksem)
· Candidose
· Graft versus host disease (GVHD) (komplikation til behandling med allogen stamcelletransplantation)
· Granulomatøs cheilitis (hævelse af læbe(r) pga. granulomatøs inflammation)
· Lichen sclerosus (kronisk, inflammatorisk hud- og slimhindesygdom)
· Cheilitis grandularis (kronisk inflammation af de små spytkirtler i læben)
· Vitamin- og mineralmangeltilstande
4. Udredning
Diagnosen aktinisk keratose stilles på baggrund af den kliniske undersøgelse og de anamnestiske oplysninger. Den endelige diagnose stilles ved biopsi.
Påvirkningen fra solens UV-stråler fører til nedbrydning af kollagen, hvorved vævets elasticitet mindskes. Ved aktinisk elastose viser det histologiske billede atrofi af epitelet og ophobning af basofilt, amorft og acellulært materiale (elastin) i det underliggende bindevæv. Ved progression til aktinisk keratose ses epitelatrofi med hyperkeratose og epiteldysplasi (varierende fra let til svær dysplasi), og undertiden ses, at forandringen allerede har udviklet sig til et planocellulært karcinom.
Ved diagnostisk usikkerhed, herunder ved hævelser, fissurer, hvidlige plakker og erosioner, er biopsi med histologisk undersøgelse selvsagt afgørende for endelig verifikation af diagnosen.
Ved skorpe- og sårdannelse, som ikke udviser tegn på heling inden for to uger, dvs. malignitetssuspicio, henvises patienten straks til videre udredning med biopsi og eventuelt pakkeforløb.
5. Behandling
Da aktinisk elastose kan progrediere til aktinisk keratose, er det vigtigt, at patienten informeres om tilstanden og opfordres til at anvende læbeplejeprodukter med solfaktor 30 og hovedbeklædning, der beskytter mod solens stråler. Desuden skal patienterne informeres om straks at henvende sig ved skorpe- og sårdannelser på prolabiet. Risikoen for, at en aktinisk keratose udvikler sig til et invasivt planocellulært karcinom, er højere på læberne end for aktiniske keratoser på huden. Der er også større risiko for metastasering ved et planocellulært karcinom på læben end for andre planocellulære karcinomer.
Tidlig diagnostik og behandling er vigtigt. Behandlingen har til formål at standse sygdomsudviklingen og forhindre udvikling af hudcancer. Instruktion i solbeskyttelse er naturligvis helt centralt.
Følgende behandlinger foregår i speciallægeregi og omfatter:
· Kirurgisk fjernelse – især ved histopatologisk verificeret invasivt planocellulært karcinom
· Kryoterapi og/eller curretage – ved mindre forandringer
· Fotodynamisk terapi (PDT) – især ved en udbredt aktinisk keratose på læbe
- Lokal behandling af aktiniske keratoser med immunmodulerende cremer
Kilder:
Vasilovici A, Ungureanu L, Grigore L et al. Actinic cheilitis – From risk factors to therapy. Front Med (Lausanne). 2022 Feb 15;9:805425. Tilgængelig fra: URL: doi: 10.3389/fmed.2022.805425.
Rodriguez-Blanco I, Florez A, Paredes-Suarez C et al. Actinic cheilitis prevalence and risk factors: a cross-sectional, multicenter study in a population aged 45 years and over in North-west Spain. Acta Derm Venereol 2018 98:970-4. doi: 10.2340/00015555-3014.
Danielsson, Darlington Markus ES, Aktinisk cheilit (solskada på läppen) (Set maj 2024) Tilgængelig fra: URL: https://www.internetodontologi.se/orofacial-medicin/aktinisk-cheilit-solskada-pa-lappen/