Oversigtsartikel:

Øget etnisk mangfoldighed i de nordiske lande - betydning for tandsundheden

Vi reflekterer også over, at tandplejepersonale i Norden kan have behov for at være forberedt på, at indvandrere med en anderledes baggrund også kan have anderledes behandlingsbehov.

a594 fig
Oversigtsartikel Dato: 21.01.2021

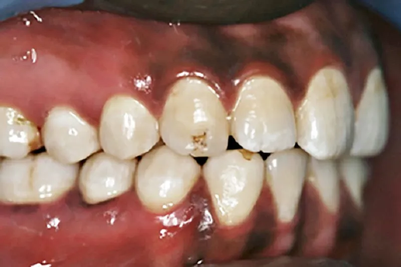
Befolkningerne i de nordiske lande har længe været relativt etnisk homogene; men siden slutningen af 1900-tallet er befolkningerne blevet stadigt mere multikulturelle.

Denne artikel fokuserer på et spørgsmål, som i sagens natur først for relativt nylig er blevet aktuelt i de nordiske lande, nemlig om en øget etnisk mangfoldighed i befolkningen også afspejles i den orale sundhedstilstand og i ændrede manifestationer af orale sygdomme.

Vi præsenterer nogle af de tilgængelige videnskabelige svar på disse meget relevante spørgsmål, fx de genetiske og sociale faktorer, som påvirker caries og parodontitis.

Dernæst undersøger vi, om forskellige kulturelle og sociale aspekter samt individuelle patientsynspunkter stiller nye og andre krav til den nordiske tandpleje.

Vi reflekterer også over, at tandplejepersonale i Norden kan have behov for at være forberedt på, at indvandrere med en anderledes baggrund også kan have anderledes behandlingsbehov.

Klinisk relevans:

I de nordiske lande er populationen i dag etnisk blandet, og dette indebærer, at tandplejen må tilpasse sig til den ændrede virkelighed. Ud fra sin etniske og kulturelle baggrund kan patienten have specifikke ønsker med hensyn til tændernes form og farve, andre holdninger til kost og mundhygiejne samt andre madvaner, end vi inden for tandplejen er vant til. Dagens tandpleje kan derfor ikke pr. automatik regne med, at bestemte behandlinger eller ønsker er passende, men må også forholde sig til kulturelle aspekter i forbindelse med behandlingsplanlægningen.