Resorption i det primære tandsæt: Hvornår er resorptionsforløbet normalt, og hvornår er det patologisk?
I artiklen diskuteres årsager til resorption og den langsigtede betydning af patologisk resorption både for det primære tandsæt og for det permanente tandsæt.

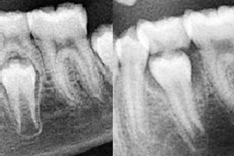
I denne oversigtsartikel belyses den fysiologiske resorption i det primære tandsæt i forbindelse med det normale tandskifte hos børn og unge. Desuden fokuseres der på de fænotypiske afvigelser, der ses ved patologisk resorption. Patologiske afvigelser kan dreje sig om uventet aggressiv resorption, om aggressiv resorption med kendt ætiologi eller om manglende resorption. Fire forskellige typer af uventet aggressiv resorption beskrives, og der gives et enkelt eksempel på aggressiv resorption som følge af traume (kendt ætiologi). Manglende resorption ses i tilfælde, hvor de primære tænder ikke resorberes. Dette beskrives ved tre eksempler. Årsager til normal fysiologisk resorption og til de patologiske afvigelser fra det normale resorptionsmønster er stort set ukendt. Nyere studier viser, at der er en medfødt biologisk disposition for patologisk rodresorption. Et forhold, der i fremtiden bør belyses genetisk.
I artiklen diskuteres årsager til resorption og den langsigtede betydning af patologisk resorption både for det primære tandsæt og for det permanente tandsæt. Årsagsproblemet belyses ud fra radiologiske studier og ud fra nyere immunhistokemiske studier af parodontalmembranen på humant tandvæv, der viser, at parodontalmembranens rodnære cellelag har samme opbygning i primære og permanente tænder. Afslutningsvis fokuseres der på betydningen af de primære tænder som forskningsmodel for belysning af resorptionsprocessen i humant tandvæv.
Klinisk relevans:
Artiklen peger på, at der er en sammenhæng mellem det primære tandsæt og det permanente tandsæt, når det gælder resorption. Derfor er det aktuelt at analysere resorptionsmønsteret i de primære tænder og journalisere dette mhp. behandlingsplanlægning i det permanente tandsæt. Enkelte patienter kan have en medfødt/biologisk øget disposition for resorption i det permanente tandsæt, og denne disposition kan i nogle tilfælde aflæses tidligt allerede i det primære tandsæt. Både i forbindelse med spontane resorptioner, men også i forbindelse med tandregulering er det vigtigt at kunne forklare børn/forældre om eventuelle medfødte dispositioner for uheldige resorptionsforløb.
Resorption in the primary dentition: when is resorption a normal physiological developmental process and when is it a pathological process?
In this overview, physiological resorption of the primary dentition in connection with the normal development of the permanent dentition is described. In focus is also the phenotypic pattern of pathological resorption. Pathological resorption can be either unexpected aggressive resorption, a aggressive resorption with a known aetiology, or lack of resorption. Four different forms of unexpected aggressive resorption are described, and a single example of aggressive resorption following trauma (known aetiology) is given. Lack of resorption is seen in cases, where the primary teeth do not resorb. This is described in three examples. The aetiology behind normal physiological resorption and the pathological deviations from the normal pattern of resorption are seemingly unknown. The aetiology behind resorptions needs to be elucidated in the future.
In the article, the aetiology of resorption and the long-term consequences of pathological resorption in both the primary and permanent dentition are discussed. The aetiological aspect is clarified based on radiographic studies and recent immunohistochemical studies of the periodontal membrane of human teeth. The layers in the periodontal membrane close to the root surface in primary teeth are the same as the layers in the permanent teeth. Therefore, the primary teeth are focused upon in the research model for the resorption process in human tooth tissue.