Strålerelateret caries er en overset komplikation
Strålerelateret caries den hyppigste årsag til tandtab efter afsluttet strålebehandling. Det viser et nyt studie, der har fulgt 66 patienter i fire år efter endt strålebehandling.

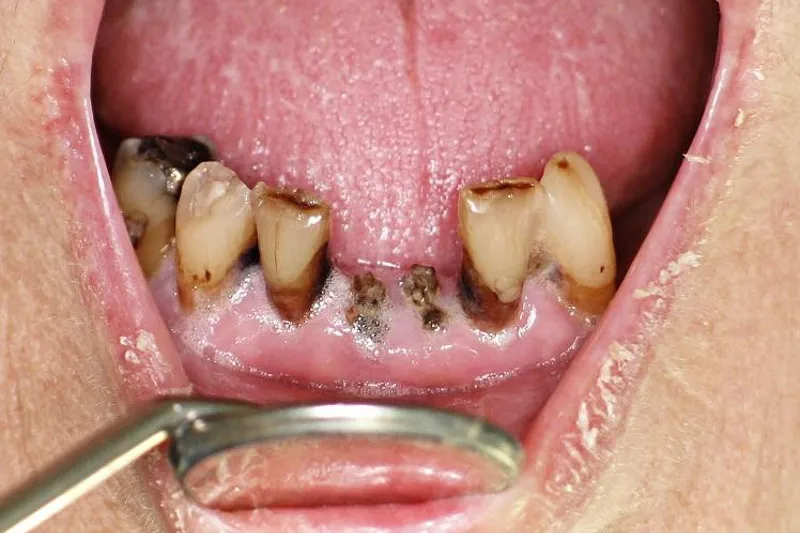
Strålerelateret caries er en overset komplikation efter strålebehandling af cancer i hoved-hals-regionen, men ifølge brasilianske forskere er strålerelateret caries den hyppigste årsag til tandtab efter afsluttet strålebehandling. Forskerne har fulgt 66 patienter i gennemsnitlig fire år efter endt strålebehandling.
67,8 % af tænderne blev ekstraheret som følge af fremskreden strålerelateret caries
Alle patienter havde inden behandlingen gennemgået en odontologisk sanering, hvor bl.a. tænder med fremskreden parodontitis eller caries blev ekstraheret, og de fik hyppige odontologiske kontrolundersøgelser i opfølgningsperioden. Af de 1.071 tænder, der var til stede ved strålebehandlingens afslutning, måtte yderligere 656 ekstraheres efterfølgende (9,9 tænder pr. patient). 67,8 % af tænderne blev ekstraheret som følge af fremskreden strålerelateret caries, mens 29,1 % blev mistet på grund af parodontitis og/eller apikal parodontitis.
Hos 11 af patienterne (16,6 %) gav ekstraktionerne anledning til osteoradionekrose. Det var især overkæbemolarer i samme side som tumoren, der måtte ekstraheres, og risikoen for komplikationer steg med stråledosis (for tandtab ved doser over 60 Gy, for osteoradionekrose ved doser over 50 Gy).
Forfatterne anfører, at den reducerede spytsekretion efter bestråling af hoved og hals kan fremme cariesudviklingen, fordi den selvrensende evne, bufferkapaciteten, mængden af antimikrobielle antistoffer og proteiner samt remineralisationen dermed svækkes.
Gomes-Silva W, Morais-Faria K, Rivera C et al. Impact of radiation on tooth loss in patients with head and neck cancer: a retrospective dosimetric-based study. Oral Surg Oral Med Oral Pathol Oral Radiol 2021;132:409-17.