Emfysem efter kirurgisk fjernelse af underkæbens tredjemolar
Der må ikke anvendes airrotor til dentoalveolær kirurgi. Det bør endvidere overvejes at instruere patienten i at undgå overtryk i mundhulen postoperativt. Emfysem efter tandbehandling skal følges tæt. Hvis krepitation og hævelse begrænser sig til ansigtet, kan tilstanden som udgangspunkt observeres. Ved udbredelse ud over ansigtsregionen, respirationsbesvær, ændret stemme eller andre tegn på progression skal patienten henvises akut til nærmeste skadestue.

Baggrund
Emfysem er en sjælden, men alvorlig tilstand karakteriseret ved patologisk tilstedeværelse af luft i væv eller organer. Emfysem kan opstå iatrogent, eller ved at patienten skaber overtryk i mundhulen ved tilstedeværelse af laceration i mundslimhinden. Kardinalsymptomet for emfysem er krepitation.
Patienttilfælde
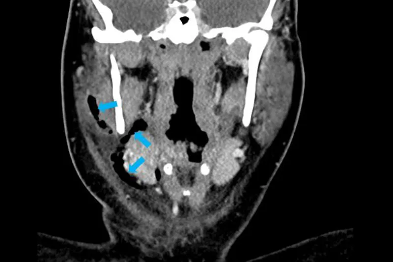
29-årig kvinde blev indlagt med emfysem efter operativ fjernelse af underkæbens tredjemolar. Behandlingen var antibiotika, observation samt incision og drænage af den ledsagende absces. Under fjernelse af tanden opstod der en større laceration sublingvalt i mundslimhinden, som formodes at have tilladt luftadgang ved nys.
Konklusion
Der må ikke anvendes airrotor til dentoalveolær kirurgi. Det bør endvidere overvejes at instruere patienten i at undgå overtryk i mundhulen postoperativt. Emfysem efter tandbehandling skal følges tæt. Hvis krepitation og hævelse begrænser sig til ansigtet, kan tilstanden som udgangspunkt observeres. Ved udbredelse ud over ansigtsregionen, respirationsbesvær, ændret stemme eller andre tegn på progression skal patienten henvises akut til nærmeste skadestue.
Klinisk relevans:
Emfysem er en sjælden komplikation til tandbehandling. Hyppigste årsag er anvendelse af airrotor til kirurgisk fjernelse af underkæbens tredjemolar og tandpræparation. Emfysem kan også opstå postoperativt, hvis der efterlades en læsion i mundslimhinden. Der må ikke anvendes airrotor til dentoalveolær kirurgi. Tandlæger anbefales, at lacerationer i mundslimhinden sutureres, således risikoen for postoperativt emfysem minimeres. Hvis dette ikke er muligt, kan det overvejes at instruere patienten i ikke at skabe overtryk i mundhulen postoperativt.