To patienter med temporomandibulær dysfunktion (TMD) og deres relevante og evidensbaserede behandling
To patienttilfælde med generel hypermobilitet illustrerer eksempler på anbefalinger og aktuelle behandlingsprincipper ved TMD belyst ved den svenske socialstyrelses retningslinjer for tandpleje.

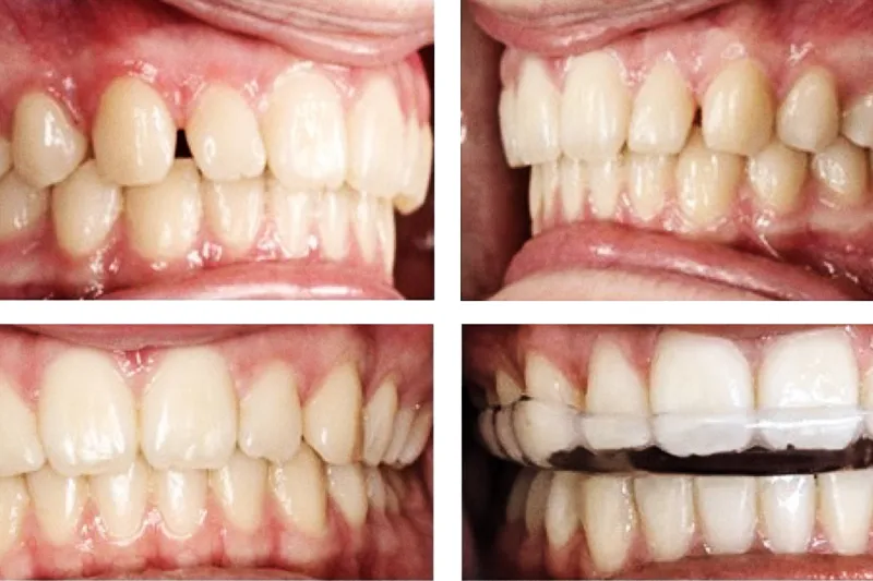
Der synes at være stor variation med hensyn til, hvordan patienter med temporomandibulær dysfunktion (TMD) bliver behandlet i Danmark. Til illustration af aktuelle, relevante og evidensbaserede behandlingsmetoder beskrives to patienter med artikulær hypermobilitet i kæbeleddet, en tilstand, hvor der hyppigt ses discusdisplaceringer og kæbeledsbesvær.
Klinisk relevans:
Ved patienter med kæbeledsbesvær og tyggemuskelsmerter anbefales: • Foretag en grundig anamnese og omhyggelig klinisk undersøgelse som fx DC/TMD til diagnostik og vurdering af tilstandens sværhedsgrad • Anvend først og fremmest information, rådgivning og simple, reversible og ikkeinvasive behandlingsmetoder • Husk, at beslibninger og andre okklusale behandlinger sjældent er relevante.There seems to be great variation in how patients with temporomandibular dysfunction (TMD) are treated in Denmark. To illustrate current, relevant and evidence-based treatment methods, two patients with articular hypermobility of the temporomandibular joint are described, a condition in which disc displacements and temporomandibular joint problems are frequently seen.