Non-neoplastiske og neoplastiske hævelser i mundslimhinden
I nærværende artikel gennemgås de mest almindelige mundslimhindehævelser og relevante differentialdiagnostiske overvejelser.

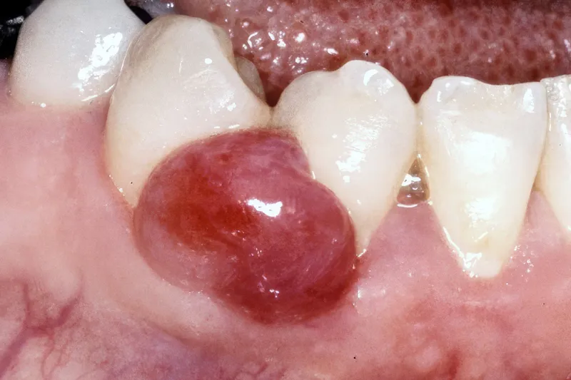
Hævelser i mundslimhinden kan opstå som følge af en væskeansamling (fx spyt, pus og ødem) eller en vævsforøgelse. Vævsforøgelser kan være non-neoplastiske eller neoplastiske. De non-neoplastiske vævsforøgelser er hyppigst forekommende og er ofte reaktive, irritationsbetingede hyperplasier (fx det pyogene granulom eller den fokale fibrøse hyperplasi). De kan også være relateret til generelle sygdomme, medicinindtagelse eller være udviklingsbetingede. Infektion med humant papillomvirus kan resultere i udvikling af papillomer, og mucocele kan opstå som følge af traumatiseret spytkirtelvæv. Ved bl.a. morbus Crohn kan ses hævelser i form af mukosale hyperplasier/folder med granulomatøs inflammation. Gingivale hyperplasier er de mest almindelige medicininducerede hævelser. De neoplastiske vævsforøgelser er karakteriserede ved abnorm og ukontrolleret cellevækst og kan være benigne eller maligne tumorer. Såvel de benigne (fx fibrom) som maligne (fx fibrosarkom) neoplasier forekommer sjældnere, men udgør væsentlige differentialdiagnoser. Det kan undertiden være vanskeligt klinisk at adskille reaktive hyperplasier fra egentlige neoplasier. Det exciderede væv skal derfor altid undersøges histologisk for endelig verifikation af diagnosen. De forskellige mundslimhindetumorer kan også være vanskelige at adskille klinisk. En biopsi vil således være påkrævet og selvsagt afgørende for den videre behandling. Det er vigtigt for tandlæger at have kendskab til de forskellige typer af mundslimhindehævelser for at kunne stille relevante kliniske tentative diagnoser og vide, hvornår der er grundlag for biopsi og videre henvisning til specialtandlæge eller speciallæge. I nærværende artikel gennemgås de mest almindelige mundslimhindehævelser og relevante differentialdiagnostiske overvejelser.
Klinisk relevans:
Non-neoplastiske reaktive blødtvævshævelser forekommer relativt hyppigt i mundhulen. I nogle tilfælde kan de være vanskelige at adskille fra egentlige blødtvævstumorer (neoplasier). Det er derfor vigtigt for tandlæger at have kendskab til de forskellige typer af bløddelshævelser, herunder deres kliniske karakteristika, for at kunne stille relevante kliniske tentative diagnoser og vide, hvornår der er grundlag for biopsi og videre henvisning til specialtandlæge eller speciallæge.
Non-neoplastic and neoplastic swellings in oral mucosa
Swellings of the oral mucosa can occur due to accumulation of fluid (e.g. saliva, pus og oedema) or due to soft tissue enlargement. Soft tissue enlargements can be non-neoplastic or neoplastic. Non-neoplastic swellings are most common, and are often reactive, irritation-induced hyperplasias (e.g. the pyogenic granuloma and focal fibrous hyperplasia). They can also be related to systemic diseases, medication-intake or of developmental origin. Infection with human papilloma-virus can lead to development of papillomas, and mucocele can occur due to trauma to salivary gland tissue. Swellings may be seen in Crohn’s disease in terms of mucosal tags with granulomatous inflammation. Gingival hyperplasias are the most common drug-induced swellings. The neoplastic swellings are characterized by abnormal and uncontrolled growth of tumor cells, and can be benign (e.g. fibroma) or malignant (e.g. fibrosarcoma) tumors. Neoplasias occur less frequently, but are important differential diagnoses. Reactive hyperplasias can be difficult to distinguish clinically from actual neoplasias. The excised tissue should therefore always be examined histologically for final verification of the diagnosis. The different oral mucosa tumors can also be difficult to separate clinically. A biopsy is therefore required and obviously crucial for further treatment. It is important for dentists to have insight in the different types of oral mucosa swellings in order to make relevant clinical tentative diagnoses, and to know when there is a basis for biopsy and further referral to a specialist within the field. This article reviews the most common swellings of the oral mucosa and relevant differential diagnostic considerations.