Tidlig diagnostik og interceptiv intervention for forebyggelse af dentitions- og okklusionsafvigelser
Artiklen giver en oversigt over opmærksomhedspunkter under dentitions- og okklusionsudviklingen og giver eksempler på forhold, hvor interceptiv intervention kan minimere eller forebygge behov for senere mere omfattende indgreb.

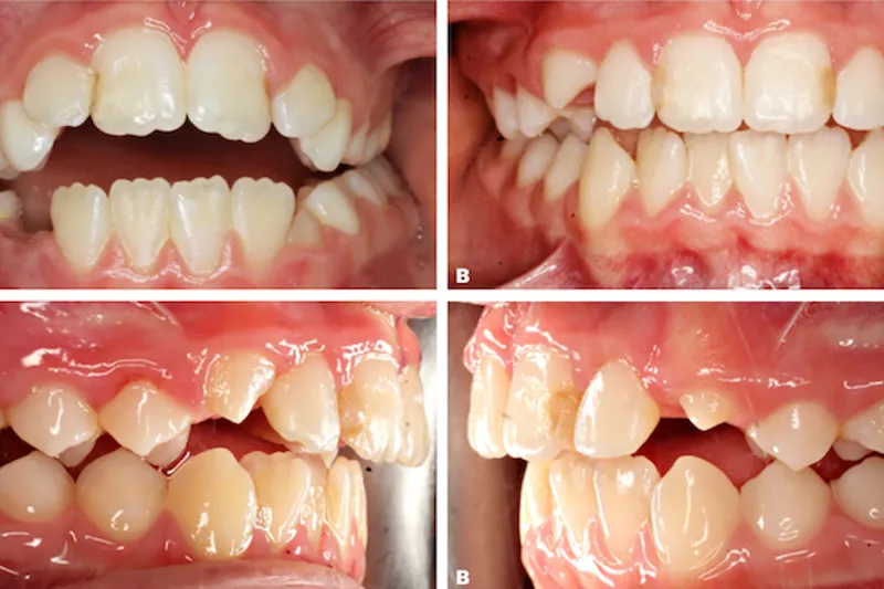
Vurdering af tand- og kæbeudvikling bør if. Sundhedsstyrelsens vejledninger være en integreret del af enhver undersøgelse i børne- og ungdomstandplejen, således at der rettidigt kan interveneres med forebyggende tiltag overfor en udvikling, der ellers på sigt kan medføre behov for langt mere omfattende og ressourcekrævende korrektiv behandling.
Artiklen giver en oversigt over opmærksomhedspunkter under dentitions- og okklusionsudviklingen og giver eksempler på forhold, hvor interceptiv intervention kan minimere eller forebygge behov for senere mere omfattende indgreb.
Klinisk relevans:
På ortodontiområdet kan visse tidlige forbyggende tiltag reducere eller forhindre senere mere omfattende og ressourcekrævende intervention. Dette er af betydning både for patienterne og for ressourceforbruget i børne- og ungdomstandplejen. Gennem hele dentitions- og okklusionsudviklingen bør der derfor være opmærksomhed omkring kliniske forhold, der afviger fra normalen i behandlingskrævende retning. Kendskab til opmærksomhedspunkter for relevante forebyggende tiltag er væsentlige for hele tandplejeteamet, hvis der skal ske rettidig udvælgelse til interceptive tiltag.