Molar incisiv hypomineralisation – en opdatering
Der mangler langtidsundersøgelser af forskellige behandlinger af MIH, og der er kun få og mangelfulde studier om de ramte børns erfaringer. Det er konklusionen i denne oversigtsartikel.

Formål – Opdatering af læserens viden om MIH. METODE – Gennemgang af artikler om diagnostik, den afficerede emaljes histomorfologiske og biokemiske egenskaber, tilsvarende læsioner i anden primære molar og deres sammenhæng med forstyrrelser i det permanente tandsæt, ætiologi, konsekvenser som smerte og caries, behandling samt MIH’s indvirken på patienter med tandlægeskræk og forringet livskvalitet (Oral Health Quality of Life, OHQoL) som følge heraf.
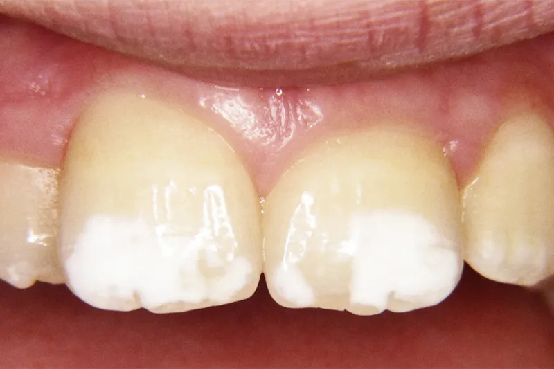
Resultater – Den globale prævalens af MIH er beregnet til 14,2 %. Der er påvist tilsvarende forstyrrelser på anden primære molar og på kusptoppene på de permanente molarer. Emaljens mikrostruktur, mekaniske egenskaber og kemiske sammensætning er ens hos første permanente molarer og primære molarer, der er ekstraheret pga. kraftige MIH-læsioner med sammenbrud. Ætiologien er ikke afklaret. Flere systemiske og genetiske og/eller epigenetiske faktorer, som agerer synergistisk eller additivt, kan knyttes til MIH, og det tyder på en multifaktoriel ætiologisk model. Seksårstænder med mineralisationsforstyrrelser er problematiske for de børn, der rammes. Tænderne isner allerede ved frembruddet, det er pinefuldt og vanskeligt at børste dem og at indtage mad og drikke, hvilket påvirker barnets livskvalitet og velbefindende.
Konklusion – MIH har store konsekvenser i form af smerte, caries, hyppige behandlinger samt æstetiske problemer. Der mangler langtidsundersøgelser af forskellige behandlinger, og der er kun få og mangelfulde studier om de ramte børns erfaringer.
Klinisk relevans:
Børn med mineralisationsforstyrrelser i seksårstænderne lider under betydelige smerter og udgør en stor udfordring for tandlægerne. De har isninger i tænderne, når de spiser og børster tænder. Tænderne er svære at bedøve og behandle. God viden om tilstanden, tidlig diagnose, hyppige kontrolbesøg og en empatisk tilgang er væsentlige faktorer, som kan gøre tandplejen i stand til at tage sig optimalt af disse hårdt ramte børn.
Molar-incisor-hypomineralization (MIH) –an update
Purpose – To update the state of knowledge about MIH affecting the first permanent first molars (FPM) mainly.
Method – Review of the current research describing different aspects of MIH. Studies regarding diagnostic and prevalence, structural, mechanical and chemical evaluation of molar-incisor hypomineralisation-affected enamel, similar disorders in second primary molars and their relation to mineralization defects in the permanent teeth, etiology, consequences as pain, caries, behavior management problems, dental fear and anxiety (DFA) and impaired Oral Health Quality of Life (OHQoL) as a consequence have been review.
Results – The global prevalence of MIH has been estimated to 14.2 %. Similar defects in the tip of permanent canines and second primary molars have been reported. The microstructure, mechanical properties chemical composition in enamel from first permanent molars and second primary molars extracted as a consequence of severe enamel hypomineralization and disintegration are similar. The etiology is still obscure. Some systemic and genetic and/ or epigenetic factors acting synergistically or additively are associated to MIH indicate a multifactorial model. First permanent molars with MIH are problematic for the affected children. From eruption, the teeth cause shooting pain. Brushing teeth is painful and caries risk is raised. Also eating and drinking is uncomfortable and influence the wellbeing and quality of life.
Conclusions – MIH leads to pain, caries, repeated treatments and aesthetic problems. Long term follow ups of various treatment are missing. Studies of the experience of the affected children are few and insufficient.