Knækket rodfil i distal kanal -6
Patienten henvender sig på klinikken pga. akutte smerter fra -6. Der laves akut oplukning og findes tre kanaler. Ved udrensning i distale kanal for at finde endeligt rodmål knækker ca. 1-2 mm af fil 08 i kanalen. Lær af den utilsigtede hændelse her.

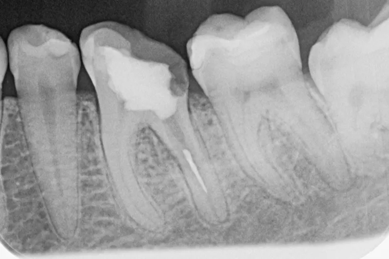
Patienttilfælde
Patienten henvender sig på klinikken pga. akutte smerter fra -6. Der laves akut oplukning og findes tre kanaler. Ved udrensning i distale kanal for at finde endeligt rodmål knækker ca. 1-2 mm af fil 08 i kanalen. Patienten bliver informeret og henvist til specialtandlæge for videre behandling.
Læring
Det fremgår, at der er tale om en filstørrelse 08, altså den tyndeste fil, der findes. Ved flerrodede tænder med lange, krumme og/eller oblitererede (“tilgroede”) rodkanaler er risikoen for filfraktur højere.
Det anbefales derfor, at du anvender meget fleksible file, skyller kanalerne hyppigt undervejs og kasserer file, der udviser svaghedstegn (fx vrid eller buk på filens arbejdende del). Du bør desuden kassere de mindste file efter brug, da risiko for usynlige svagheder i disse er høj.
Alternativt kan du henvise til en tandlæge med særlig kompetence inden for rodbehandling, hvis du vurderer, at en rodbehandling er særligt vanskelig.
Siden 2010 har det været lovpligtigt for tandlæger at rapportere utilsigtede hændelser (UTH) til Styrelsen for Patientsikkerhed.
I alle fem regioner er der ansat risikomanagere, der arbejder med at øge patientsikkerheden på tandlægeområdet bl.a. ved at drage læring af utilsigtede hændelser og videreformidle denne læring til gavn for andretandlæger. I samarbejde med regionernes risikomanagere deler vi på denne plads patienttilfælde, som er omskrevet, men baseret på lignende indrapporteringer. Du kan rapportere en UTH på dpsd.dk