Sammenhængen mellem parodontitis, tandtab og nedsat knoglemineralindhold hos ældre kvinder
7.3.2019
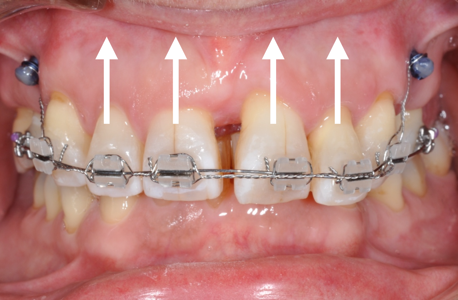
Formålet med undersøgelsen var at bestemme sammenhængen mellem knoglemineralindhold (bone mineral density, BMD), tandtab og parodontalstatus, når der samtidig blev…